
For me, ceramic selection is about the Blend Factor. The definition of blend –“to combine or mix so that the constituent parts are indistinguishable from one another”.
My primary shade taking approach is finding the blend factor from the brilliance of the incisal or cusp ½ zone. This Blend Factor principle is demonstrated in the following case review.
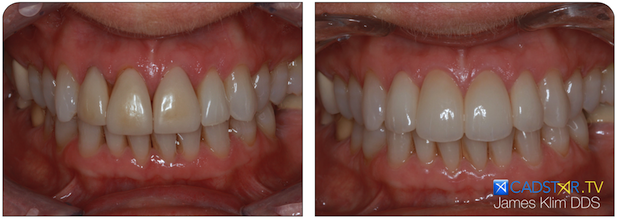
Patient’s primary objective was to update 20 year old veneers and close the cervical interproximal windows in the papillae zones. Treatment plan for #7-10 veneers was assisted with an aesthetic diagnostic wax-up.

BioCopy proposal from prototype wax-up refined using the 2D grid and Incisal Variation Tool.

Three sets of CEREC veneers where milled and finished. I occasionally do these type of projects for the passion of learning. Color corrected photographs were taken of each of the veneer sets using Variolink Veneer Try-in paste +2 (Ivoclar/Vivadent).

The patients response was very interesting. She felt that each option would have worked if that was the only option presented. Which veneer set would you have chosen?

Patient chose the Empress B1 Multi. Shapes and incisal roundness was developed relative to patient's desires.

What I learned from this case is that blend is the important factor. The Blend Factor is a result of ceramic brilliance, transparency and impacted by cement chosen, superficial gloss finish and color of preparation. More than one ceramic can work as long as there is not visual tension.